

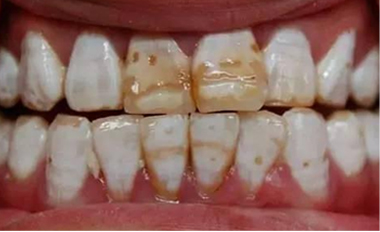
牙齒有缺陷唔止會影響面部美觀,仲有可能殃及鄰牙,俾口腔健康帶嚟更大傷害。解決牙缺陷問題,及時治療係關鍵!
點撳預約修復牙齒>>


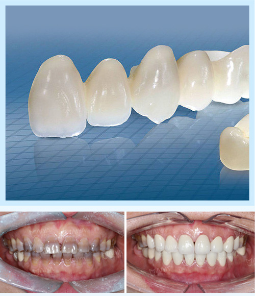
博愛口腔美學修復中心引入全數字化口腔科技及歐美生態全瓷材料,可以根據顧客嘅臉型、唇形、牙齒形態、排列狀態等進行個性化綜合設計,唔單止考慮咬合關係,更兼顧牙顎面嘅整體美觀同協調,設計出符合美學、醫學、材料學、口腔力學嘅明星全瓷牙。


博愛仿生美容冠在掃描、設計、加工以及修複環節,全流程采用數字化修複方案,采用仿生材料,色澤逼真、通透自然,媲美真牙,持久耐用。



采用高科技生物材料,對牙龈無刺激、無過敏反應,磨牙少,沒有金屬基底冠的存在,有效避免了金屬過敏和牙龈黑線等問題的出現。外形美觀自然,可達到仿真效果。



根據求美者牙齒高低厚薄進行3D精細化量齒定制,采用牙齒粘結技術,在保存活髓、不磨牙的情況下,對牙體表面缺損、着色牙、變色牙和畸形牙等用高科技瓷修複材料粘結覆蓋其表面,以恢複牙體的正常形态和改善其色澤。



